LANAP Laser Treatment in
Coral Way, Miami, FL

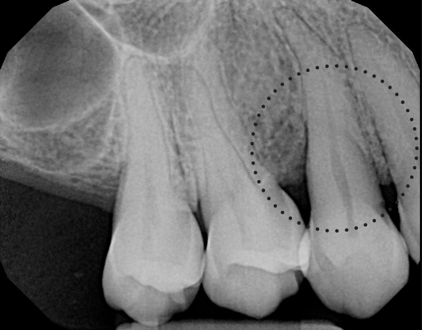
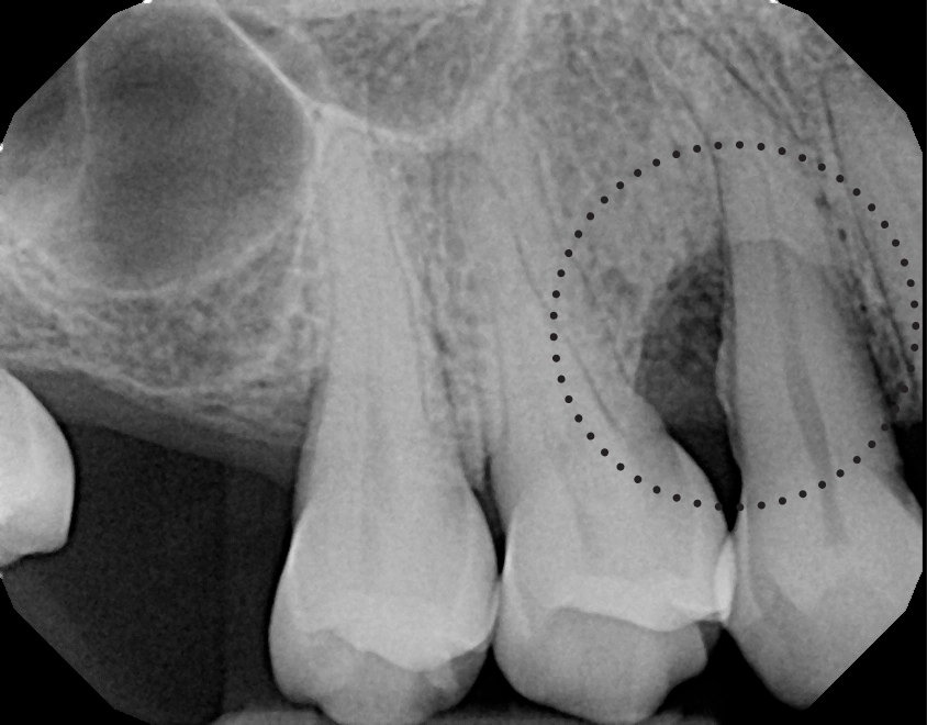
What is LANAP?
A cutting-edge laser therapy called LANAP was created to treat gum disease. Minimally and invasively. Unlike traditional gum surgery, which requires cutting and sutures, LANAP uses laser technology to precisely target and eliminate diseased gum tissue while preserving healthy tissue. The procedure promotes natural healing and bone and gum tissue regeneration, providing long-lasting results.
If you’re looking for a LANAP dentist in Miami, One Dental is here to deliver top-tier care. Our team is trained in this advanced technique, ensuring a comfortable and practical experience.

Benefits of LANAP Laser Treatment
Patients often choose LANAP laser treatment in Miami for its numerous benefits:
- Minimally Invasive: No cutting or stitches are involved, making the procedure less painful than traditional gum surgery.
- Faster Recovery: Most patients may resume their regular activities within a day with little discomfort.
- Effective Results: LANAP promotes bone and gum tissue regeneration and removes damaged tissue.
- Preservation of Healthy Tissue: The laser targets only infected areas, preserving healthy tissue.
- Reduced Risk of Infection: The laser sterilizes the treated area, lowering the chance of infection.
If you’ve been searching for LANAP near you, our skilled dentists at One Dental are ready to provide the care you need to achieve optimal gum health.
How Does the LANAP Procedure Work?
LANAP uses the PerioLase® MVP-7™ laser to target bacteria and infected tissue precisely. Here’s what to expect during your treatment:
- Consultation: At your first appointment, our skilled dentist will check and assess the condition of your gums and decide whether LANAP is the best course of action.
- Treatment: The procedure begins with the laser gently removing infected gum tissue while preserving healthy tissue.
- Cleaning and Healing: After the diseased tissue is removed, the area is thoroughly cleaned, and the laser is used again to create a protective clot that encourages healing.
- Follow-Up Care: Our staff will help you recuperate and advise you on keeping your gums healthy.
By choosing One Dental for your LANAP Miami treatment, You may relax knowing you’re in good hands.
Is LANAP Right for You?
LANAP is ideal for patients with moderate to severe gum disease looking for a less invasive alternative to traditional surgery. Whether you’re experiencing swollen gums, bleeding, or bone loss due to periodontal disease, LANAP could be the solution you’ve been searching for.
Are you searching for a LANAP dentist in Miami who can help you regain your oral health? Our experienced team at One Dental is dedicated to providing personalized care specially tailored to your needs.
Why Choose One Dental for LANAP?
At One Dental, we prioritize your comfort and long-term oral health. Here’s why patients in Miami choose us for LANAP laser treatment:
- Expertise: Our team has extensive experience performing LANAP and other advanced dental treatments.
- State-of-the-art technology: We use the latest dental equipment to ensure precise and effective results.
- Patient-Centered Care: Your comfort and complete satisfaction are our top priorities.
- Comprehensive Services: Besides LANAP, we offer a broad range of dental services to properly support your oral health journey.
Schedule Your LANAP Consultation Today
Don’t let gum disease compromise your oral health. Take the first step toward healthier gums with LANAP laser treatment in Miami. Contact One Dental today to schedule your consultation and learn more about this advanced procedure.
Call us now or book your appointment online to discover why patients searching for LANAP near you choose One Dental for exceptional care. Let us help you attain a healthier, brighter smile!
FAQ About LANAP Laser Treatment
Is LANAP painful?
How long does the LANAP procedure take?
How soon can I return to work after LANAP?
Is LANAP safe?
Will LANAP cure my gum disease permanently?
No. LANAP is much less painful than traditional gum surgery. Most patients report little to no discomfort during and after treatment.
Is LANAP painful?
No. LANAP is much less painful than traditional gum surgery. Most patients report little to no discomfort during and after treatment.
How long does the LANAP procedure take?
The treatment is usually completed in one or two sessions, depending on the severity of gum disease.
How soon can I return to work after LANAP?
Most patients return to normal activities within 24 hours.
Is LANAP safe?
Yes. LANAP is FDA-approved and performed with advanced laser technology, making it safe and effective for treating gum disease.
Will LANAP cure my gum disease permanently?
LANAP treats gum disease effectively and helps regenerate tissue, but maintaining good oral hygiene and routine check-ups is essential to prevent recurrence.
